State-of-the-art technology means better outcomes
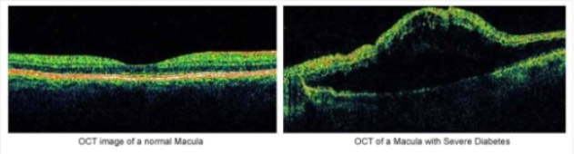
Our system offers ultra-wide imaging, with unsurpassed color and clarity, in high definition. This diagnostic tool is able to identify issues that evaded earlier systems. The images created by the camera can be separated to enhance the visual contrast in the various layers of the retina. This gives Dr. Soroudi the ability to identify diabetic retinopathy and investigate the periphery of the retina, where issues such as vascular leakage or other blood vessel-related problems can be seen clearly. This imaging system allows Dr. Soroudi to plan the ideal treatment for each individual client.














